Zahnimplantate Saarbrücken
Implantologie
Die moderne Lösung für fehlende Zähne
Der Verlust eines Zahnes hat direkte Auswirkungen auf das gesamte Gebiss. Die benachbarten Zähne können sich verschieben, kippen oder drehen. Auch die gegenüberliegenden Zähne können in die Lücke hineinwachsen. Diese Veränderungen können langfristig zu Fehlbelastungen und Beschwerden führen.
Wir sind spezialisiert auf Implantologie und hochwertige Zahnimplantate und beraten Sie individuell zu den besten Lösungen für Ihren Zahnersatz.
Zahnimplantate: Neue Wurzeln für Ihre Zähne
Implantate sind künstliche Zahnwurzeln, die fest im Kiefer verankert werden. Sie bieten eine stabile Basis für hochwertigen Zahnersatz und ermöglichen eine natürliche Kaufunktion, ästhetische Optik und erhöhte Lebensqualität.
Das bietet ein Implantat:
- Ersatz eines fehlenden Zahns inklusive Wurzel und Krone
- Fester Halt im Kiefer
- Ästhetisch optimaler Zahnersatz
- Schutz der Nachbarzähne – kein Beschleifen notwendig
- Knochenerhaltende Wirkung
- Weniger Nischen für Bakterien
- Optimale Reinigungsmöglichkeiten
- Erhaltung der natürlichen Kau- und Sprachfunktion
- Höchster Tragekomfort
Warum Implantate?
Hochwertiger Zahnersatz aus unserem Eigenlabor
Unsere Praxis bietet Ihnen alle Vorteile einer umfassenden Versorgung: Sie erhalten alle Leistungen von der Implantation bis zum individuell gefertigten Zahnersatz direkt in unserer Praxis. In enger Zusammenarbeit mit unserem Zahntechniker bei der Fertigung Ihres Zahnersatzes entstehen passgenaue Kronen, Brücken und Prothesen, die höchsten ästhetischen und funktionellen Ansprüchen genügen.
Wir setzen auf das bewährte Camlog-Implantatsystem, das in Deutschland hergestellt wird und für höchste Präzision sowie Langlebigkeit in der Zahnmedizin bekannt ist. Bei Verwendung von Camlog-Originalteilen erhalten Sie eine lebenslange Garantie auf das Implantat und den Aufbau (Abutment).
Mehr Informationen zu Camlog-Methode unter https://patienten.camlog.de.
Wir freuen uns auf Ihren Besuch
Wir sind Spezialisten auf unserem Gebiet. Mit viel Engagement, stetiger Weiterbildung unseres Teams und Freude an unserem Beruf stellen wir den Menschen als Patient täglich in den Mittelpunkt unseres Handelns. Unser herzliches Praxisteam freut sich darauf, Sie in unserer Praxis begrüßen zu dürfen. Vereinbaren Sie noch heute einen Termin.
Häufig gestellte Fragen (FAQ)
Lassen Sie sich von uns beraten – wir finden die beste Lösung für Ihr strahlendes Lächeln!
Ratgeber "IMPLANTATE"
Dr. Cathrin Hahn Ferreira
Spezialistin für Implantologie in Saarbrücken
Liebe Patientin, lieber Patient,

da Sie sich meinen persönlich verfassten Ratgeber „Implantate“ gedownloadet haben, darf ich Sie zunächst in meiner beruflichen Welt, der oralen Chirurgie und Implantologie, willkommen heißen.
Ich gehe daher davon aus, dass Sie sich aktuell für Zahnimplantate interessieren. Vielleicht weil Ihnen selbst ein oder gar mehrere Zähne fehlen? Oder bisherige „Übergangslösungen“ nun durch hochwertigen Zahnersatz getauscht werden sollen? Um hier nur zwei Gründe anzuführen. Es gibt diverse weitere Gründe.
Dann haben Sie mit dem Download meines Ratgebers die richtige Entscheidung getroffen.
Was erwartet Sie als Leser in diesem Ratgeber?
In einem Satz: In diesem E-Book habe ich die für Sie wichtigsten Informationen zu Implantaten verständlich zusammengefasst, so dass Sie sich eingehend über den langlebigen Zahnersatz – in Form von Implantaten – informieren können.
Ich wünsche Ihnen interessante Erkenntnisse.
Herzlichst
Ihre Dr. Cathrin Hahn Ferreira, MSc
Dieser Ratgeber ist von mir, vom ersten Buchstaben bis zum Cover, in Handarbeit erstellt worden. Sollte es Ecken und Macken haben, freuen Sie sich darüber. Es ist wie im richtigen Leben. Dr. Cathrin Hahn Ferreira
Aufbau & Materialien eines hochwertigen Zahnimplantates
Häufig bekomme ich von meinen Patienten zu Beginn einer Behandlung die Frage gestellt, wie denn solch ein Implantat aufgebaut ist und wie Sie sich den Behandlungsablauf vorstellen können. Das ist auch verständlich, schließlich handelt es sich um einen wichtigen medizinischen Eingriff, der kaum jemandem bekannt ist – auch im Hinblick auf den Ablauf.
Daher möchte ich Ihnen als Leser genau auf diese Fragen medizinisch fundierte Antworten geben.
Der Implantat-Aufbau
Um den Ablauf einer Implantation zu verstehen, sollten Sie zuerst wissen wie ein Implantat aufgebaut ist.
In der Regel besteht ein Implantat aus drei Teilen. Zuerst ist da der Implantat Körper, der wie eine künstliche Zahnwurzel in den Kieferknochen gesetzt wird. Darauf wird ein Implantat-Aufbau geschraubt und auf diesen folgt dann die Implantatkrone.
Um Ihnen den Aufbau verständlich zu illustrieren, habe ich für Sie nachfolgend eine Grafik eingefügt, die Ihnen den oben beschriebenen Aufbau zeigt.

Wichtig für Sie zu wissen ist auch, aus welchen Materialien ein Implantat besteht. Vielleicht fragen Sie sich nun nach dem Warum? Ich möchte es Ihnen kurz erklären. In vergangenen Jahren wurden Patienten noch Materialien eingesetzt, von denen, durch den Fortschritt der Technik und Wissenschaft bekannt ist, dass Sie für den Körper toxisch wirken. Des Weiteren sind auch Fälle von allergischen Reaktionen bzw. von Unverträglichkeit aufgetreten, sodass die Implantate wieder entfernt werden mussten.
Ich selbst arbeite ausschließlich mit hochwertigen Materialien, die eine äußerst hohe Sicherheit und Verträglichkeit für den Patienten innehaben. Dazu möchte ich Ihnen nachfolgend einen genaueren Eindruck verschaffen.
Der Implantat-Körper besteht zumeist aus Titan, einem gut bekannten Werkstoff, der als sehr verträglich unter Patienten gilt. Seltener gibt es auch Implantat-Körper aus Zirkon (eine sehr stabile Keramik). Der Implantat-Aufbau, auch Abutment genannt, besteht ebenfalls aus Titan oder Zirkon. Die Implantat-Krone kann genau wie jede andere Krone auch gestaltet werden. Je nachdem, was Sie sich wünschen bzw. was technisch möglich ist. Das kann sein a) mit Metallkern keramisch verblendet, b) ganz aus Keramik, oder auch c) aus Gold. Ganz nach Ihren individuellen Wünschen.
Vorgehensweise und Ablauf einer Implantation
Kommen wir nun zum Ablauf einer sogenannten „Implantation“.
Den Ablauf möchte ich Ihnen jetzt gerne anhand einer realen Fallstudie näher bringen. Unserem Beispielpatienten Herrn F. fehlt der Zahn 36. Sicher kennen Sie das Szenario von Ihren bisherigen Zahnarztbesuchen. Der Zahnarzt schaut sich Ihre Zähne mit seinen Arbeitsutensilien genauer an und nennt der Praxishelferin diverse Zahlen. Diese Zahlen sind „Codes“, die für die einzelnen Zähne und deren Position im Kiefer stehen. Für Sie hoffe ich, dass der Zahnarzt sich hierbei möglichst kurz gehalten hat, denn jede Zahl steht für einen Zahn, der nicht vollständig gesund ist. Unser Zahn 36 ist beispielsweise der erste große Backenzahn im linken Unterkiefer.
In unserem Beispielfall handelt es sich also um eine Einzelzahnimplantation.
Januar: Herr F. stellt sich erstmals bei mir in der Praxis vor. Er hat starke Schmerzen an Zahn 36. Die klinische Untersuchung und das angefertigte Röntgenbild, das direkt bei mir in der Praxis erstellt wurde, bestätigen den Verdacht. Der Zahn ist gebrochen, hat zudem noch eine Entzündung und ist leider nicht mehr zu erhalten. Er muss entfernt werden. Somit wurde der Zahn unter örtlicher Betäubung direkt und ohne Schmerzen entfernt, die Wunde adäquat verschlossen. Bereits am nächsten Tag ist Herr F. wieder schmerzfrei. Aber was passiert jetzt mit der Zahnlücke?
Die Zähne vor und hinter der Lücke sind noch komplett gesund. Herr F. kommt daher nochmal zu einem Beratungsgespräch zu mir in die Praxis. Die Wunde ist gut verheilt. Zusammen mit mir werden die Möglichkeiten zum Ersatz des Zahnes 36 besprochen.
Die Regelversorgung der gesetzlichen Krankenkasse wäre hier eine Brücke von Zahn 35 auf Zahn 37. Diese Brücke würde dann jedoch komplett aus Metall gefertigt werden. Das kommt für Herrn F. aus ästhetischen Gründen nicht in Frage. Die Brücke könnte man natürlich auch mit Keramik verblenden, so dass sie zahnfarben ist und optisch nicht so auffällt. Aber dafür müssten die Zähne 35 und 37 abgeschliffen werden, damit Platz für die Brücke geschaffen wird.
Dies würde allerdings einen Eingriff in die Zahngesundheit der gesunden Zähne 35 und 37 bedeuten. Das findet Herr F. nicht optimal, denn seine Zähne wird er noch viele Jahre benutzen.
Auch die Sicherheit eines nachhaltigen Zahnersatzes ist Herrn F. ein Anliegen. Schnell rückt also das Implantat als Alternative in den Vordergrund. Nachdem ich mit Herrn F. die Vorteile eines Implantates besprochen habe und Ihn darüber hinaus vollständig über mögliche Risiken des Eingriffs aufgeklärt habe, entscheidet sich Herr F. für ein Implantat. (Hier können Sie sich den schriftlichen Aufklärungsbogen direkt ansehen) Daraufhin erhält Herr F. einen auf ihn individuell zugeschnittenen Kostenvoranschlag, damit er auch genau weiß, was finanziell auf ihn zukommt. Den sogenannten Heil- und Kostenplan reicht Herr F. bei seiner Krankenkasse ein.
Warum tut Herr F. das? Herr F. reicht seinen individuellen Heil- und Kostenplan deshalb bei seiner Krankenkasse ein, weil er von dieser den Zuschuss erhält, den er auch für die Brücke erhalten hätte. Er erhält ihn stattdessen nun für die Implantat-Behandlung.
Dann möchte Herr F. natürlich wissen, wie schnell er einen Termin zur Implantation vereinbaren kann. Denn er möchte gerne möglichst bald die Zahnlücke geschlossen haben. Aus medizinischer Sicht, rate ich Herrn F. dazu einen Termin in ca. 6 – 8 Wochen zu vereinbaren.
Sie fragen sich vielleicht, warum erst so spät? Das hat folgenden Grund: So lange benötigt der Knochen, um sich nach der Extraktion (Zahnentfernung) weit genug zu regenerieren, damit er ein Implantat stabil aufnehmen kann. Gleichzeitig empfehle ich Herrn F. aber auch nicht zu lange warten, da der Knochen nach einigen Monaten beginnt sich abzubauen. Das heißt, er wird an der Stelle, an der sich die Lücke befindet schmaler und somit wird es im Laufe der Zeit dann immer schwieriger ein Implantat zu setzen. Schließlich braucht das Implantat einen gewissen Raum, um dort Platz zu finden.
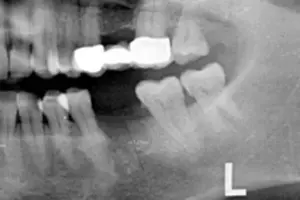
März: 8 Wochen später: Herr F. hat seinen Termin zur Implantation bei mir in der Praxis. Vor dem Eingriff habe ich bereits, anhand von Röntgenaufnahmen, überprüft, ob der vorhandene Knochen breit und tief genug ist, um ein Implantat bestimmter Länge und Durchmessers zu setzen. Siehe Bild 2.
Dies ist bei Herrn F der Fall. Somit erhält Herr F. eine kleine örtliche Betäubung, genau wie damals als der Zahn entfernt worden ist. Die örtliche Betäubung stellt sicher, dass Sie als Patient während meines Eingriffs absolut schmerzfrei bleiben. Hierüber müssen Sie sich somit keine Gedanken machen – und ich mir auch nicht. So kann ich mich zu 100% auf die professionelle Einsetzung Ihres Zahnimplantats konzentrieren.

Bild 2: Zahnlücke von fehlendem Zahn 36
Dort, wo das Implantat gesetzt werden soll, wird das Zahnfleisch etwas zur Seite geschoben, damit ich eine gute Sicht auf den Knochen erhalte. Siehe Bild 3.

Bild 3: Zahnfleisch wird zur Seite geschoben
Anschließend bereite ich das Implantat-Bett von Herrn F. mit verschiedenen kleinen Bohrern auf, in welches der Implantat-Körper danach eingebracht wird.


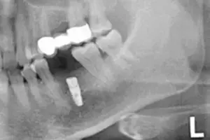
Am Ende des Eingriffs wird von mir direkt und vor Ort nochmal mittels Röntgenaufnahme die korrekte Position des Implantats überprüft. Dadurch stelle ich auf einem zusätzlichen Weg für Sie abschließend sicher, dass ich Ihren Implantat-Körper perfekt in den Knochen eingesetzt habe.

Bild 4: Röntgenkontrolle der Implantatsposition nach erfolgtem Eingriff
Nach der Röntgenbildaufnahme geht es zurück in eines meiner Behandlungszimmer. Herr F. bekommt das Röntgenbild gezeigt und erläutert, sodass er sich selbst davon überzeugen kann, dass der Implantat-Körper einwandfrei in seinen Kieferknochen eingesetzt wurde. Siehe Bild 4. Das Zahnfleisch wird nun über den frisch eingesetzten Implantat-Körper gelegt und vernäht. Siehe Bild 5.

Bild 5
Die Implantation ist erfolgreich verlaufen und Herr F. ist erstaunt, dass der Eingriff kaum aufwendiger war, als den Zahn zu entfernen. Der komplette Eingriff hat gerade einmal 30 Minuten gedauert.
Herr F. erhält von mir ein Antibiotikum zur Infektionsprophylaxe (Vorbeugung evtl. Infektionen) verschrieben, und Tabletten gegen evtl. auftretende Schmerzen. Außerdem erhält er von mir ein Merkblatt, welches ihm erklärt, wie er sich nach dem Eingriff zu verhalten hat. Dieses Infoblatt „Verhalten nach einem operativen Eingriff“ können Sie sich direkt hier herunterladen. Herr F. bekommt nochmal einen Termin zur Nachkontrolle bei mir in der Praxis, an dem ich die Wunde untersuchen werde. Die Fäden werden wiederum eine Woche später entfernt.
Jetzt braucht das Implantat etwas Zeit, um einzuheilen. Das bedeutet, dass der umliegende Knochen auf das Implantat zuwächst und dieses fest in seiner Substanz einschließt. Daraus resultiert, dass der Implantat-Körper denselben Halt bekommt, wie ein natürlicher Zahn auch.
Dieser Prozess dauert zwei bis drei Monate und kann auch leider nicht beschleunigt werden. In dieser Zeit erhalten Sie von mir einen provisorischen Zahnersatz. Vor allem dann, wenn es aus ästhetischen Gründen notwendig oder von Ihnen gewünscht ist.
Juni: Nach dem Einheilungsprozess erfolgt ein zweiter kleiner Eingriff für Herrn F, nämlich die Freilegung des Implantat-Körpers. Bis jetzt hat dieser ja unter dem Zahnfleisch geschlummert. Das Zahnfleisch wird also erneut betäubt und wieder etwas zur Seite geschoben und ein sogenannter Gingivaformer wird auf den Implantat-Körper geschraubt. Es wird also wieder eine Verbindung von der künstlichen Zahnwurzel zur späteren Zahnkrone hergestellt. Siehe Bild 6.

Bild 6: Freilegung des Implantat-Körpers
Jetzt bekommt das Zahnfleisch noch etwa 2 Wochen Zeit, schön um den Gingivaformer zu wachsen. Herr F. kommt nochmal für die Abdrucknahme mittels eines so genannten Abdruckpfostens, der anstelle des Gingivaformers auf den Implantat-Körper geschraubt wird. Mit diesem Übertragungspfosten kann im zahntechnischen Labor ein für Sie individuell passender Implantat-Aufbau und eine Implantat-Krone hergestellt werden. Siehe Bild 7.

Bild 7: individuell passender Implantat-Aufbau und Implantat-Krone
Juni: Beim nächsten Termin werden der Implantat-Aufbau und die Implantat-Krone „anprobiert“ und da alle Einzelteile des Implantats passen, auch fest eingesetzt. Siehe Bild 8

Bild 8: Anprobe der Implantat-Krone
Herr F. ist mit seinem Implantat sehr zufrieden. Er hat keine Lücke mehr und kann genauso, wie mit seinem ehemals natürlichen Zahn, kauen und beißen. Die Nachbarzähne mussten auch nicht abgeschliffen werden und blieben von dem Eingriff vollkommen unberührt. Die etwas höhere Investition in Form von Zeit und Geld in seine nachhaltige Zahngesundheit bzw. Zahnersatz ist ihm dies auf jeden Fall wert gewesen und er würde diesen Weg wieder gehen und auch anderen Patienten empfehlen! Unter normalen Umständen hält dieser Eingriff ein Leben lang.
Die Nachsorge für das Zahnimplantat
Zum Abschluss seiner Behandlung erkläre ich Herrn F. noch folgendes:
Um den langjährigen Erhalt des Implantates und der dazugehörigen Versorgung zu sichern, sind folgende Voraussetzungen unbedingt erforderlich:
- regelmäßige und gewissenhafte häusliche Mundhygiene: Unser Infoblatt „Die richtige Mundhygiene für Zuhause“ können Sie sich direkt hier kostenlos herunterladen.
- regelmäßige Kontrollen und professionelle Zahnreinigungen: Am besten 2x im Jahr. Wir reinigen dazu die Bereiche, die schwer zugänglich sind und die Sie selbst deshalb nur unzureichend sauber halten können. Siehe dazu auch unser Infoblatt „Professionelle Zahnreinigung (PZR)“, welche Sie sich hier kostenlos downloaden können.
Ihre 5 persönlichen Vorteile eines Zahnimplantates
- Im Gegensatz zu einer konventionellen Brücke werden die Nachbarzähne nicht abgeschliffen und somit vor einer unnatürlichen Abnutzung geschont. Ihre Zähne behalten ihren bisherigen gesunden Zustand und bleiben vom Eingriff unberührt.
- Die Implantat-Krone sieht für Sie und für ihr Umfeld aus wie ein natürlicher Zahn. Er ist praktisch „unsichtbar“ zwischen Ihren anderen Zähnen. Des Weiteren fühlt das Zahnimplantat sich auch genauso natürlich, wie Ihr ursprünglicher Zahn, an. Sie können auch mit der Zahnseide – wie bisher – zwischen den Zahnzwischenräumen durch. Genauso wie bei Ihren natürlichen Zähnen. Bei einer Brücke wäre dies nicht der Fall.
- Ein Implantat wirkt knochenprotektiv. Das heißt, ohne Implantat würde der Knochen sich mit der Zeit abbauen. Doch durch das Implantat wird der Knochen physiologisch belastet und bleibt dadurch so erhalten wie er zum Zeitpunkt des Eingriffs gewesen ist.
- Falls bei Ihnen lediglich herausnehmbare Prothesen als Zahnersatz in Frage kommen würden, können Sie mit Implantaten noch einen festsitzenden Zahnersatz erreichen. Dies hat für Sie den Vorteil, dass Sie keinen Unterschied zu den ansonsten natürlichen Zähen spüren oder schmecken und Sie somit die Lebensqualität hinsichtlich Ihrer Zähne sowie Ihrem Lachen immens steigern.
- Bei richtiger Pflege halten Implantate grundsätzlich Ihr Leben lang!
Eventuelle Behandlungsalternativen
Statt der vorgesehenen Versorgung mit Implantaten kommen folgende Alternativen für Sie in Betracht.
- konventionelle prothetische festsitzende Versorgungen: z. B. Brücken
Nachteil: erheblicher Substanzverlust durch Beschleifen der Nachbarzähne - herausnehmbare Teil- oder Vollprothese: z. B. Teleskopprothese, Klammerprothese
Nachteile: u. U. ungenügender Halt, ggf. übermäßige Belastung oder Schädigung der Restzähne, weiterer Knochenschwund, mangelnder Komfort
In speziellen Situationen bzw. Ausnahmefällen (z. B. besondere Erkrankungen, unzureichende Mundhygiene, extremer Knochenabbau), kann es besser sein, auf Implantate zu verzichten und eine konventionelle Methode vorzuziehen.
Welche die für Sie individuell beste Behandlung ist, können Sie und ich gemeinsam, während eines Beratungsgesprächs, in meiner Gemeinschaftspraxis besprechen.
Mögliche Risiken bei der Implantation
Die folgende Aufzählung möglicher Risiken dient Ihrer Aufklärung bzgl. eines Eingriffs für das Einsetzen eines Zahnimplantats. Grundsätzlich ist festzuhalten, dass jeder medizinische Eingriff mit Risiken verbunden ist. Vergleichbar mit der Einnahme von Medikamenten. Statistisch gesehen treten die genannten Risiken in sehr seltenen Fällen auf. Der Vollständigkeit halber, ist es mir jedoch ein persönliches Anliegen, Ihnen diese dennoch mitzuteilen.
- Durch die örtliche Betäubung kann es in statistisch äußerst seltenen Fällen zu Blutungen, Kreislaufreaktionen, allergischen Reaktionen, Schädigung von Nerven oder zu einer lang anhaltenden Gefühllosigkeit kommen.
- Implantatverlust: Trotz exakter Technik kann sich ein Implantat lockern und verloren gehen. Später kann aber grundsätzlich ein neues Implantat gesetzt werden.
- Im Unterkiefer: Verletzung des Unterkiefer- oder des Zungennervs mit Gefühls- und Geschmacksstörungen im Bereich der Lippe und Zunge, Unterkieferbruch
- Im Oberkiefer: Eröffnung der Kiefer- und Nasennebenhöhlen mit Entzündungen
- immer wiederkehrende Entzündungen am Implantat (Periimplantitis) mit Gefahr des Implantatverlusts (dies entsteht meist durch mangelnde häusliche Mundhygiene)
- Beschädigungen von benachbarten Geweben und Zähnen
- Blutungen, Schwellungen, Entzündungen, postoperativer (nachträglicher) Wundschmerz
- Allergie gegen Medikamente (z. B. Antibiotika)
- Fraktur des Implantats oder der Oberkonstruktion durch Fehlbelastung
Wie viel muss ich für ein Zahnimplantat investieren?
Sicher interessiert Sie als Leser auch, welche finanziellen Investitionen bei einem hochwertigen Zahnersatz wie Implantate auf Sie zukommen. Hierzu möchte ich Ihnen einen ungefähren Rahmen benennen, damit Sie sich einen ersten Eindruck davon verschaffen können, ob diese Art von Zahnersatz für Sie in Ihrer derzeitigen Situation oder auch allgemein in Frage kommt.
Die Investitionen in Ihre nachhaltige Zahngesundheit hängen sehr stark von Ihrer Anzahl der benötigten Implantate, der Materialauswahl und Ihrer Knochenbeschaffenheit ab. Auch der individuelle Zuschuss Ihrer gesetzlichen Krankenkasse muss für Ihren Fall präzise berechnet werden. Deswegen erhalten Sie von mir vorab einen genau kalkulierten Heil- und Kostenplan. Die privaten Krankenkassen übernehmen in der Regel die Kosten der Behandlung, hier kommt es aber auch immer auf Ihren individuellen Tarif an.
Um eine grobe Richtung anzugeben, kann ich Ihnen mitteilen, dass man grundsätzlich für ca. 2.600€ ein hochwertiges Implantat mit der dazugehörigen Implantat-Krone erhält.
Ich hoffe, dass ich Ihnen in meinem Ratgeber und anhand der Geschichte von Herrn F. interessante Erkenntnisse zu dem Ablauf einer Implantation in unserer Gemeinschaftspraxis geben konnte.
Um Sie in Ihrer Entscheidungsfindung zu unterstützen, biete ich Ihnen gerne einen persönlichen Beratungstermin in unserer Gemeinschaftspraxis an.
Was sind nun die nächsten Schritte für Sie?
Ich lade Sie herzlich dazu ein, mich telefonisch unter 0681 – 62100 in meiner Gemeinschaftspraxis zu kontaktieren und einen Termin zur ersten Beratung mit mir zu vereinbaren.
Darüber hinaus können Sie auch die Möglichkeit der Online-Terminvereinbarung nutzen, um bequem vom PC aus einen ersten Beratungstermin mit mir zu vereinbaren. Klicken Sie dazu hier.
Ihre Dr. Cathrin Hahn Ferreira, MSc